Sănătatea în România

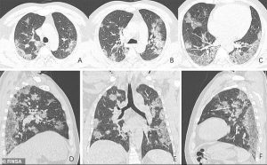
VIDEO: Cum arată plămânii unui bolnav care s-a vaccinat în comparație cu cei ai unui pacient nevaccinat. Diferența e uriașă!

Vaccinarea face diferența atunci când vine vorba de modul în care SARS-CoV2 atacă organismul. Numeroase studii au dovedit beneficiile vaccinării. Oamenii care s-au vaccinat au șanse mai mici de infectare, șanse reduse de a transmite virusul și șanse foarte mari să facă o formă foarte ușoară a bolii. Directorul medical al Spitalului de Boli Infecțioase

… Citeste mai mult!

Sănătatea în România – Medika TV

medikatv.ro